杨林 广东
预约
口腔正畸硕士 原三甲医院 专业细致耐心

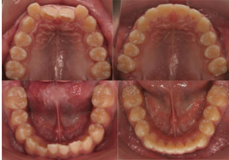
医学类型:深覆合, 牙列拥挤

矫正方法:固定矫正, 平导

治疗周期:18个月

深覆合男生不拔牙矫正,收获帅气笑容

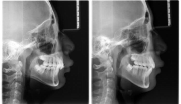
这个男孩是15岁来我这矫正的,主诉是上嘴唇突出。

其实他是牙齿拥挤,伴有严重的深覆合,所以看上去下巴后缩,面下三分之一短,显得上嘴唇很突出。

我采用了不拔牙矫治,平导打开咬合,总疗程18个月后,男孩收获了帅气阳光的面容。


矫正后的男孩不但面容变得帅气,也更爱笑更开朗了,这就是矫正带来的美好吧!

预约同款医生
杨林 预约
查看更多案例 >

相关案例

贝致
发现
我的
牙医