医学类型:反合
矫正方法:隐形矫正
治疗周期:7个月

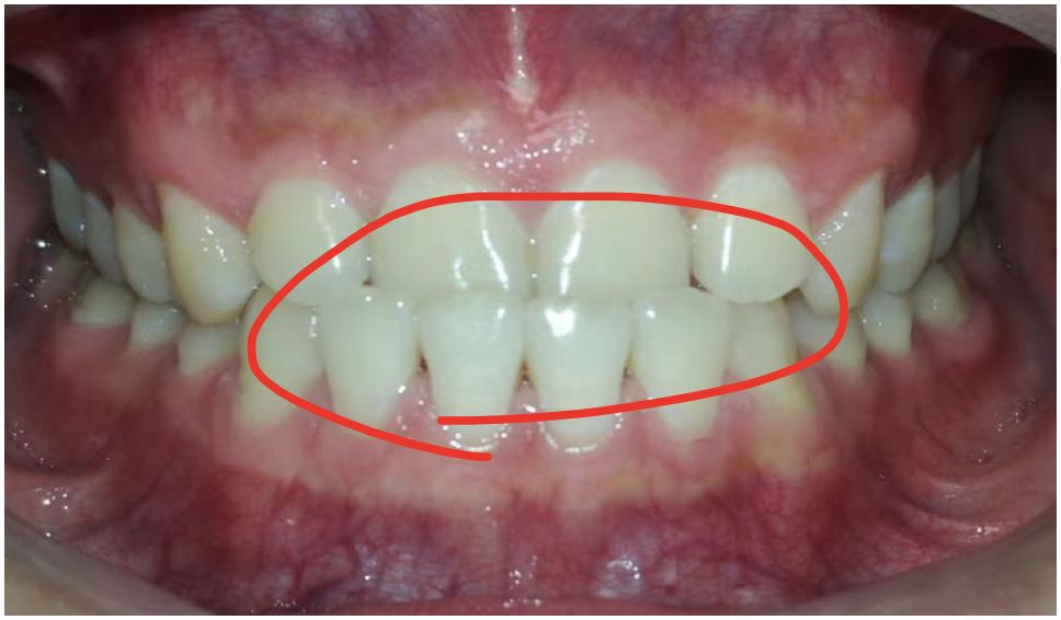
这个男生有前牙反颌问题,上门牙有明显的内凹。

这也是大家常说的“地包天”,会导致上唇后缩,下巴前突,笑起来更突出。

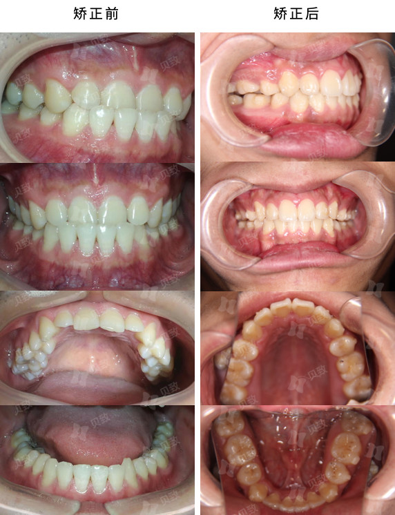
这个男生正是如此,上唇缩、下巴突、笑起来露不出上牙,只看嘴巴有种“无牙小老头”的感觉。7 个月的矫正后,男生的下巴明显内收,尤其是侧面看,面型改善了很多。
经检查,男生除了前牙反颌外,其他并无明显问题,本身磨牙咬合关系良好。
所以通过隐形矫治,内收下前牙,排齐上下前牙,无需拔牙就能解决反颌的问题。


前后对比效果非常明显,前牙反颌问题得到解决,咬合关系恢复正常,不再有“地包天”。男生每次开怀大笑,都会露出一口整齐的牙齿,整个人都变得更加自信了。
