医学类型:深覆盖, 深覆合
矫正方法:固定矫正, 拔牙, 平导
治疗周期:24个月
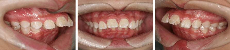
这个眉毛弯弯的女孩,由于严重的龅牙,嘴唇无法自然闭合找到杨医生进行矫正治疗。

因为上门牙前突,她的上嘴唇突出特别明显。同时还存在牙齿深覆合的问题,需要打开咬合。

拔牙矫治(拔除14、24、34、44),平导打开咬合,总疗程24个月。
矫正前后面像对比


矫正后,上门牙及上嘴唇内收,鼻唇角明显加大,下巴较之前也更为明显。X光片中的前后变化一目了然。

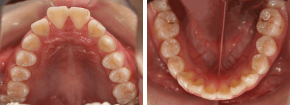
矫正前后口内像对比




矫正后,咬合打开,达到健康状态。牙齿排列整齐,牙间隙收紧。两年的坚持下,小女孩终于摆脱了“龅牙妹”称号!
